近日,泰安市第一人民医院胸痛中心再次展现了其高效、专业的救治能力,与岱岳区医共体院区紧密协作,成功抢救了一名急性心肌梗死患者。这场与时间赛跑的生死救援,不仅体现了胸痛中心“时间就是心肌美港通证券,时间就是生命”的救治理念,也彰显了岱岳区医共体在急危重症救治中的重要作用。
一位患者因“胸痛1天加重5小时”被紧急送往泰安市第一人民医院角峪院区急诊。接诊医生迅速为其完善心电图等检查,结果显示为急性下壁心肌梗死。接诊医生立即与泰安市第一人民医院胸痛中心取得联系,并通过心电传输群将患者的相关检查信息第一时间发送给总院区心内科专家。
角峪院区医务部第一主任赵福财医生远程指导抢救,立即给予心梗一包药口服,联系调派最近的120急救车,医共体范镇院区120急救车只用了八分钟就赶到患者身边,转运途中为患者吸氧,心电监护,密切监测各项生命指标变化,同时安抚患者及家属情绪。总院区在接收到患者后,胸痛中心立即启动危重患者应急预案,通过绿色通道给予患者一路绿灯,在排查患者无PCI手术禁忌症美港通证券,并与患者家属谈话沟通后,进行PCI手术治疗。
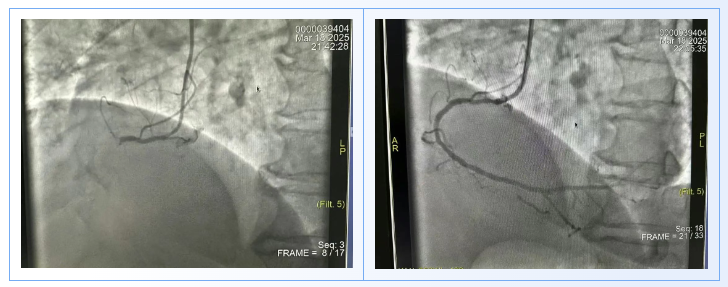
急诊重症医学部急救医护小组携带胸痛转运急救箱护送患者绕行CCU,直达心脏介入中心。心内一科副主任杨俊杰带领心脏介入团队再次确诊患者为急性下壁心肌梗死,冠脉血管病变严重,必须立即开通血管。术中冠脉造影显示多支病变,右冠动脉近段闭塞,狭窄100%,前降支狭窄90%,回旋支中段95%狭窄,心脏介入团队对右冠闭塞支实施血栓抽吸、球囊扩张并植入支架一枚,术中患者心跳极度过缓,应用抢救药物后心率逐渐恢复正常,成功开通血管,患者生命体征恢复平稳。从患者进入总院区到手术结束,仅用时40分钟,远低于国际标准的90分钟,创造了“高铁”般的救治速度。
此次抢救的成功,不仅是对胸痛中心救治能力的肯定,也为岱岳区医共体建设的进一步发展提供了宝贵经验。角峪院区作为泰安市第一人民医院医共体分院区,迅速识别病情并启动转诊流程,为患者争取了宝贵的救治时间。泰安市第一人民医院胸痛中心则通过“单绕行”模式(绕行CCU),直接将患者送入导管室,进一步缩短了救治时间。这种“分院区首诊、远程会诊、快速转诊、总院区抢救”的急危重症救治模式,正是岱岳区医共体建设的成果的具体体现。通过信息化手段,分院区与总院区实现了“患者未到,信息先到”的无缝对接,为急危重症患者搭建了一条“生命高速”通道。
泰安市第一人民医院胸痛中心自2022年通过国家级标准版胸痛中心认证以来,始终践行“时间就是生命”的初心,成功救治了大量急性心肌梗死患者。胸痛中心通过优化流程、强化团队协作,将“D-to-B”时间(从入院到血管开通)缩短至9分钟,远低于国际标准。此外,胸痛中心还定期开展各类型的应急演练,提升医共体各院区医护人员的应急处置能力。
泰安市第一人民医院逐渐完善医共体“救命网”,继续优化胸痛中心流程,织密心电一张网,加强与各院区及基层医疗机构的紧密协作,快速推进岱岳区紧密型医共体建设,推动总院区优质医疗资源下沉,为更多急危重患者赢得生的希望。
(泰安市第一人民医院 )美港通证券
股升网配资提示:文章来自网络,不代表本站观点。